您好,欢迎您!

文献速递 | 产前泼尼松暴露如何“编程”子代肝脏?IF 52.7顶刊解码MASLD关键靶点,万生昊天生物蛋白Marker精准赋能机制解析

2026-03-20

公众号头图 gif.gif

在生命早期发育与成年期慢性病之间的隐秘关联中,产前环境暴露正逐渐成为揭示代谢疾病起源的关键窗口。本文将深度解读一篇发表于国际顶级期刊(影响因子52.7)的前沿研究,揭示产前泼尼松暴露如何通过"表观遗传-代谢轴"影响子代肝脏功能,奠定代谢功能障碍相关脂肪性肝病(MASLD)的易感基础。


与此同时,研究中所使用的高精度实验工具——万生昊天生物的三色预染蛋白Marker——也为机制解析提供了坚实的数据支撑,展现了国产科研试剂在顶尖研究中的关键赋能作用。


  

01
研究背景

代谢功能障碍相关脂肪性肝病(MASLD)已成为全球重大公共卫生挑战。既往《科学》杂志研究证实:产前泼尼松暴露可直接导致宫内生长受限与低出生体重,且该效应独立于母体基础疾病。流行病学证据进一步提示,低出生体重人群成年后糖脂代谢紊乱(包括MASLD)风险显著升高。

然而,产前糖皮质激素暴露如何"编程"子代肝脏代谢功能、埋下MASLD易感"种子"?其分子桥梁长期悬而未决。近日,一项发表于该顶级期刊的突破性研究,首次系统揭示了这一跨代代谢调控通路,为MASLD的早期预警与靶向干预开辟新路径。

1.png

6.png


02
机制揭秘

研究团队通过多维度实验证实:

核心触发:产前泼尼松暴露(PPE)经活性代谢物泼尼松龙,持续激活子代肝脏糖皮质激素受体-组蛋白去乙酰化酶3(GR-HDAC3)信号轴

表观调控:导致SERPINA3C基因启动子区H3K27ac修饰水平显著降低,引发该基因表达长期抑制(延续至出生后);

通路级联:SERPINA3C下调进一步激活糜酶-血管紧张素II-AT1R(Ang II-AT1R)通路

功能损伤:最终造成肝脏脂肪酸氧化障碍、葡萄糖摄取能力下降,奠定MASLD易感性基础。

2.png


03
研究工具支持

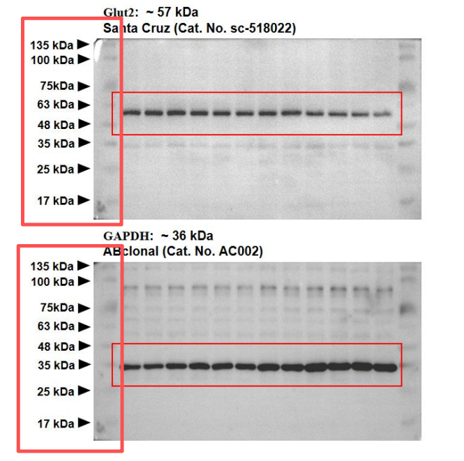
在Western Blot关键验证环节,研究团队为确保目标蛋白分子量判定的准确性与实验可重复性,选用上海万生昊天生物科技有限公司研发的三色预染蛋白Marker(Cat. #: MKP008,11-180 kDa

3.png

5.png

该产品凭借宽线性范围、高对比度三色条带及优异转膜稳定性,为蛋白表达定量提供可靠标尺,有力保障了机制解析中关键数据的严谨性与可信度,彰显国产高端科研试剂在顶尖研究中的支撑价值。

MKP008.jpg

04
万生昊天相关产品

产品推荐.jpg


05
限时福利

🌈如需上述文献原文,可留言“文献索取”并添加客服微信获取。

🎉转发本文至朋友圈,集齐18个赞,截图发送至公众号后台。按发送时间排序,前10名可免费获得万生昊天三色预染蛋白Marker(Cat. #: MKP008)试用装一份!

推荐阅读

▶  新品上市 | 信号通路研究“守门员”:蛋白酶磷酸酶抑制剂混合物(10×)

▶  实验指南 | 一张凝胶,两种“视界”:Native-PAGE与SDS-PAGE,你分清了吗?(附非变性电泳实操全攻略)

▶  开学焕新季 | 万生昊天三重礼,助您科研“轻”装上阵!

▶  实验指南 | 蛋白“显形术”大揭秘!4种常见蛋白染色方法全解析

▶  实验人必存|7大常用生物缓冲液全解析!TBS、PBS、Hanks、EBSS…一篇搞定

▶  实验指南 | 蛋白样品制备3——蛋白定量完全指南

▶  用户福利 | 上海万生昊天生物2026文献奖励计划全面启动:奖励加码,全线产品支持科研创新!

▶  电泳视界 | 蛋白预制胶:玻璃面板 VS 塑料面板,选谁更明智?

▶  电泳视界 | Tris-Glycine vs Bis-Tris预制胶终极指南:国产技术突破与高分辨率实验方案全解析

▶  限时臻选 | 夏日科研神器特惠!液体缓冲液限时狂欢季来袭,手慢无!

▶  印迹解码 | 大分子蛋白转膜总失败?甲醇浓度这个「隐形开关」你调对了吗?

▶  官宣 | 液体产品包装焕新升级,每一处改变都为您而来

▶  印迹解码 | WB 实验总翻车?这份内参抗体速配指南帮你避开 99% 的坑(附福利)

▶  告别模糊条带!万生昊天Tris-Glycine预制胶,30分钟交出完美数据!

▶  电泳视界 | Western blot条带又拖尾?5大元凶对照表,从点样到染色一网打尽!

▶  新品速递 | Western实验全明星登场!告别信号模糊 & 背景干扰,解锁高效科研新体验!

▶  电泳视界 | 电场中的“分子赛跑”:一部跨越百年的电泳科学简史

END



签名档.jpg